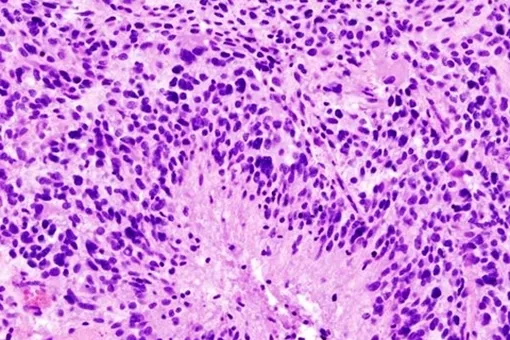
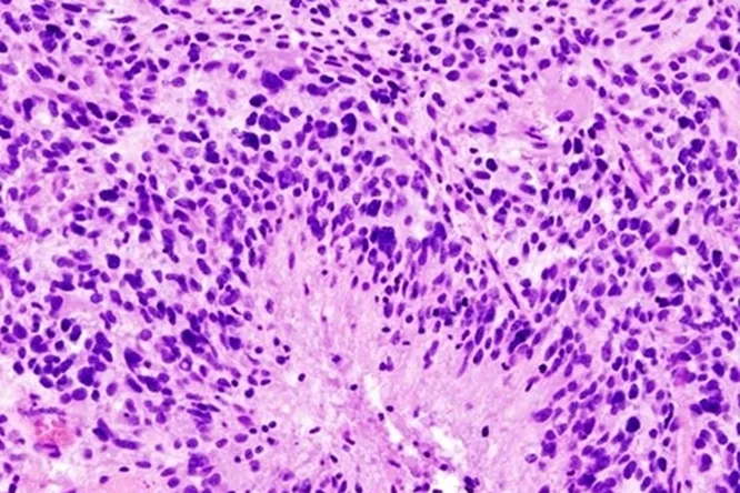
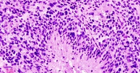
Глиобластома ежегодно диагностируется примерно у 15 000 американцев. Даже при стандартном лечении — хирургии, химиотерапии и облучении — медианная выживаемость составляет всего около 15 месяцев. Все существующие методы лечат опухоль как локальную болезнь мозга, но новое исследование показывает: это системное заболевание. Результаты исследования опубликованы в журнале Nature Neuroscience.
Рак мозга разрушает череп, это объясняет очень тяжелое развитие глиобластомы

Ученые использовали передовые методы визуализации на мышах с двумя типами глиобластом. Оказалось, что опухоли вызывают эрозию костей черепа, особенно вдоль швов, где кости срастаются. Компьютерная томография пациентов подтвердила: у людей с глиобластомой толщина черепа уменьшается в тех же анатомических зонах, что и у мышей.
Иммунные клетки усиливают рак
Эрозия увеличивает количество и диаметр каналов, соединяющих череп с мозгом. Через эти каналы опухоль посылает сигналы в костный мозг черепа, кардинально меняя его иммунный состав. Анализ показал: глиобластома почти вдвое увеличивает уровень провоспалительных клеток (нейтрофилов) и практически уничтожает несколько типов В-клеток, производящих антитела.
«Каналы между черепом и мозгом позволяют множеству провоспалительных клеток из костного мозга черепа проникать в опухоль, делая глиобластому все более агрессивной и слишком часто неизлечимой», — объясняет соавтор исследования Э. Ричард Стэнли, профессор биологии развития и молекулярной биологии в Эйнштейне.
Костный мозг черепа и бедренной кости реагировали на рак по-разному. В черепе глиобластома активировала гены, усиливающие производство воспалительных клеток, а в бедре — подавляла гены, необходимые для производства иммунных клеток.
Исследователи проверили, помогут ли препараты против остеопороза. Оба лекарства остановили эрозию черепа, но рак остановить не удалось. Но понимание характера поражения очень важно для разработки необходимой терапии.


