Ученые из детской больницы Цинциннати в сотрудничестве с фармгигантом Roche, США, разработали уникальную платформу микромассивов человеческих органоидов печени. Система воспроизводит взаимодействие иммунной и печеночной ткани.
Ученые вырастили мини-печенки, чтобы предсказывать реакции на медикаменты

Зачем ученые вырастили мини-печенки
Новая модель создана из стволовых и иммунных клеток конкретного пациента. Она имитирует редкие, но опасные иммунные повреждения печени, вызываемые некоторыми медикаментами.
- Подобные реакции известны как идосинкратические лекарственные поражения печени (iDILI) и нередко приводят к отзыву препаратов с рынка.
До сих пор воспроизвести такие реакции в лабораторных условиях было почти невозможно — ни животные модели, ни стандартные тесты не учитывали индивидуальные генетические различия.
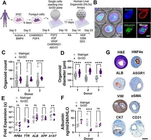
Американские ученые объединили индуцированные плюрипотентные стволовые клетки (iPSC), из которых формируются органоиды печени, с собственными CD8⁺ Т-клетками донора.
Для проверки эффективности системы исследователи воспроизвели токсическое действие антибиотика флуклоксациллина, вызывающего повреждение печени только у людей с геном риска HLA-B*57:01. Модель точно воспроизвела активацию Т-клеток, выброс цитокинов и разрушение печеночных клеток — реакции, наблюдаемые у носителей этого гена.
- «Мы хотели перенести человеческую биологию в лабораторию в масштабируемом и воспроизводимом виде», — объяснила руководительница проекта Магдалена Касендра.
- По ее словам, новая технология объединяет достижения стволовой биологии и токсикологии. Это приближает науку к созданию по-настоящему персонализированных лекарств.
Проект стал результатом многолетних разработок лаборатории Таканори Такэбэ, впервые создавшей человеческие органоиды печени. Совместно с Roche команда Цинциннати довела технологию до промышленного уровня: теперь платформа может использоваться для массового тестирования лекарств и прогнозирования индивидуальных реакций.

