Энергетические напитки давно ассоциируются с рисками для сердца и нервной системы. Теперь же новый клинический случай показывает: опасность сохраняется и для внешне здоровых людей. В журнале BMJ Case Reports врачи описали, к чему привел резкий «сбой» организма у здорового мужчины без хронических заболеваний.
Фитнес не спас: как энергетики довели здорового британца до инсульта

Как энергетики довели мужчину до инсульта
Пациент из Британии обратился за медицинской помощью с онемением и слабостью левой стороны тела, нарушением равновесия, глотания и речи.
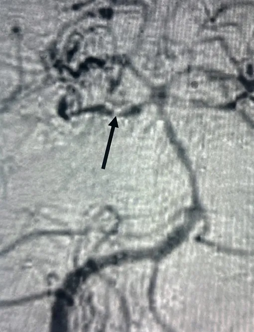
Обследование показало ишемический инсульт: кровоснабжение было нарушено в зоне мозга, отвечающей за движение и чувствительность.
Даже после начала лечения давление оставалось нестабильным.
- Тогда пациент признался, что ежедневно выпивал в среднем восемь энергетиков.
- Это около 1 300 миллиграммов кофеина в сутки — более чем втрое выше рекомендуемого максимума в 400 мг.
- По словам пациента, он не осознавал, насколько серьезные последствия может иметь такая привычка.
Спустя годы после отказа от энергетиков последствия инсульта сохраняются: онемение в руке, ноге и пальцах не исчезло полностью. Врачи подчеркивают, что проблема заключается не только в кофеине.
Комбинация стимуляторов, сахара и добавок вроде гуараны, таурина и женьшеня усиливает влияние на сердечно-сосудистую систему, повышая давление и риск сосудистых катастроф.
- Авторы исследования отмечают: рынок энергетических напитков продолжает расти, а потребление активно продвигается среди молодых взрослых.
На фоне высокой смертности и инвалидизации после инсультов в Британии призывают к более жесткому регулированию продаж и рекламы таких напитков, чтобы снизить долгосрочные риски для здоровья населения.


