Команда Университета Калифорнии из США изучала паразита Toxoplasma gondii на модели мышей. Ученые пересмотрели привычную картину, где киста считалась «капсулой хранения» с одной дремлющей формой паразита. Оказалось, что киста больше похожа на узел управления.
Спящий паразит токсоплазма в мозге оказался активнее, чем считалось раньше
параз
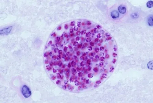
Паразит Toxoplasma gondii заражает до трети людей на планете и годами может «жить» в тканях, почти не выдавая себя. Новое исследование показывает: внутри мозговых кист он, похоже, не так уж спит — даже при хронической инфекции есть признаки тихой, низкоуровневой активности.

Todorean Gabriel/Getty Images
Внутри могут сосуществовать разные подтипы, и часть из них потенциально готова к реактивации.
Токсоплазма в мозге активнее, чем считали
- Токсоплазма размножается в организме кошек, а к человеку чаще попадает через контакт с загрязненной почвой/фекалиями или через сырое и плохо приготовленное мясо.
- У большинства людей симптомы не проявляются, но паразит формирует кисты в мозге и мышцах (а также других тканях) и способен сохраняться пожизненно — особенно опасным он становится при ослабленном иммунитете.
- Главная новость — в деталях «внутренней жизни» кисты.
Исследователи применили одноклеточное секвенирование РНК и увидели: в одной и той же кисте присутствуют как минимум несколько функционально разных вариантов паразита.
В экспериментах на мышах описывают до пяти подтипов. Они развиваются с разной скоростью и, по данным авторов, могут быть «настроены» на разные задачи — выживание, поддержание кисты, распространение или возвращение к активной стадии.
Почему это важно не только как любопытная биология.
- Лекарства против токсоплазмоза работают по-разному на активную инфекцию и на «спящую» форму в кистах, а попытки создать терапию, которая бы надежно добиралась до хронической стадии, годами буксовали.
Если киста — не однообразный сейф, а сложная система, то становится понятнее, почему «универсальная таблетка» не срабатывает.
Нужно точнее понимать, какой именно подтип чаще запускает реактивацию и какой узел стоит бить в первую очередь.

