Ученые подтвердили, что люди с СДВГ действительно чаще проявляют творческие способности. Все дело в том, как работает их мозг – он склонен к «блужданию» мыслей. Это не просто рассеянность: у таких людей активнее работает механизм свободных ассоциаций, особенно если это осознанное, направленное блуждание. Исследование с участием 750 человек показало: чем ярче выражены симптомы СДВГ, тем выше творческие достижения. Значит, умы с гиперактивностью могут быть настоящими генераторами идей.
СДВГ и креативность, тайны шизофрении и механизмы боли: главные новости сегодня

Исследование: почему «блуждающий» ум при СДВГ может быть источником креативности
Ученые обнаружили связь между синдромом беспокойных ног и болезнью Паркинсона
Южнокорейские ученые 17 лет наблюдали за почти 20 000 человек и заметили: у тех, кто страдает синдромом беспокойных ног, риск болезни Паркинсона выше примерно в 60%. Оба состояния связаны с нарушениями в системе дофамина – вещества, которое управляет движениями и эмоциями. Интересно, что у пациентов, которые принимали препараты-агонисты дофамина, болезнь развивалась реже. Но пока исследователи не делают выводов, что лекарства способны предотвратить Паркинсона – нужны дополнительные данные.
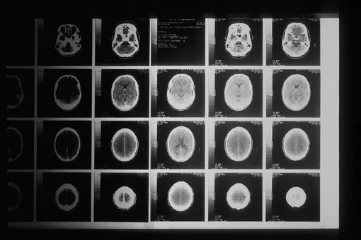
Ученые определили биологическую основу шизофрении
Команда из Королевского колледжа Лондона выяснила, что у людей с шизофренией в мозге снижен уровень железа и миелина – вещества, которое изолирует нервные волокна. Эти отклонения нарушают передачу сигналов между областями мозга и могут объяснять проблемы с мышлением и поведением. Главная причина, по мнению ученых, – сбои в работе клеток, отвечающих за производство миелина. Они не усваивают достаточно железа, а значит, не создают нужную «изоляцию» для нейронов.
Как мозг игнорирует хроническую боль ради выживания
Ученые из Университета Пенсильвании нашли в мозге механизм, который помогает подавлять хроническую боль, когда на кону выживание. Оказалось, что особые нейроны могут ослаблять сигнал боли, если организм испытывает страх, голод или стресс. Когда, например, человек сталкивается с опасностью, мозг с помощью молекулы NPY снижает восприятие боли – чтобы тело могло действовать, а не парализоваться от страданий.
